LungAI
CT SCAN ANALYZER

Run the model on a scan

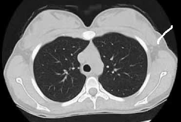
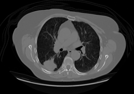
Upload your own CT slice, or click any patient below to instantly see the model classify a real scan.

Test Accuracy99.7%
AUC Score0.999
Training Scans1,000
ArchitectureEfficientNetB0
Try a real scan— click any patient to run inference instantly
INPUT

ENDPOINT · https://stunning-perception-production.up.railway.app/predict

OUTPUT

Select a patient above or upload your own scan to see results here.